- カテゴリーなし
矯正治療/保険適用になる条件
矯正歯科といえば、基本的に保険適応外の治療となり、健康保険が使えません。そのため全額自己負担になり、治療費が高額なイメージを持たれる方も多いと思いますが、厚生労働省が定めた特定の条件を満たした症例に関して、健康保険が適応になります。今回は、どのような場合に適応になるのか、具体的な症例名などについてご紹介します。
目次
矯正治療にかかる費用
矯正治療を行う過程では、様々な費用がかかります。自費診療と保険診療ではかかる費用が異なります。どちらも患者様お一人おひとりのお口の中の状態に合わせて治療計画を立て、完全オーダーメイドの治療ですが、保険診療で治療していく場合は保険のルールで適用になるものが決まっております。
矯正治療にかかる費用の仕組み
クリニックによって自費診療の金額は異なりますが、当院での矯正治療でかかる費用には次のようなものがあります。
- 検査料(レントゲンや顔面や口腔内の写真、口腔内スキャン)
- 診断料(歯科医師による治療方針の説明)
- 装置料(選ぶ装置によって料金は異なります)
- 処置・メンテナンス料(毎回の治療費)
この他矯正治療を行うにあたり虫歯や歯周病の治療、抜歯などが必要な場合は別途費用がかかります。また、当院は矯正専門歯科のため虫歯治療や抜歯は一般歯科へ紹介状を作成し治療を行ってきていただきます。
初診カウンセリング時に、保険診療の可能性がある方へは別途治療費のご案内をしています。

※保険診療の場合は、行った治療に対する保険点数で換算しご請求致します。
矯正治療で保険が適用されるケースとは?
審美的な目的で矯正治療を行う場合には保険適用は出来ません。
多くのケースでは矯正治療は自費診療になりますが、保険診療が適用になるのは先天性の疾患による不正咬合や骨格の問題(上顎と下顎の前後的な位置の異常)、顔面の非対称性があると診断された場合です。その他にも「別に厚生労働大臣が定める疾患」がさまざまあります。
保険適用される条件
厚生労働省が定めた条件は、以下の通りです。
- 「別に厚生労働大臣が定める疾患」に起因した咬合異常に対する矯正歯科治療
- 前歯3歯以上の永久歯萌出不全に起因した咬合異常(埋伏歯開窓術を必要とするものに限る)に対する矯正歯科治療
- 顎変形症(顎離断等の手術を必要とするものに限る)の手術前・手術後の矯正歯科治療
保険適用される疾患
先天性の疾患による不正咬合は、矯正治療の保険適用が認められています。
「別に厚生労働大臣が定める疾患」は以下の61疾患です。これらは患者様ご自身で判断ができるものではないので、然るべき医療機関や歯科医院で診断をしてもらう必要があります。
別に厚生労働大臣が定める疾患
唇顎口蓋裂/ゴールデンハー症候群(鰓弓異常症を含む)/鎖骨頭蓋骨異形成/トリーチャ・コリンズ症候群/ピエール・ロバン症候群/ダウン症候群/ラッセル・シルバー症候群/ターナー症候群/ベックウィズ・ウイーデマン症候群/顔面半側萎縮症/先天性ミオパチー/筋ジストロフィー/脊髄性筋萎縮症/顔面半側肥大症/エリス・ヴァンクレベルド症候群/軟骨形成不全症/外胚葉異形成症/神経線維腫症/基底細胞母斑症候群/ヌーナン症候群/マルファン症候群/プラダ―・ウィリー症候群/顔面裂(横顔裂、斜顔裂及び正中顔裂を含む)/大理石骨病/色素失調症/口腔・顔面・指趾症候群/メビウス症候群/歌舞伎症候群/クリッペル・トレノネー・ウェーバー症候群/ウイリアムズ症候群/ビンダー症候群/スティックラー症候群/小舌症/頭蓋骨癒合症(クルーゾン症候群及び尖頭合指症を含む)/骨形成不全症/フリーマン・シェルドン症候群/ルビンスタイン・ティビ症候群/染色体欠失症候群/ラーセン症候群/濃化異骨症/6歯以上の先天性部分無歯症/CHARGE症候群/マーシャル症候群/成長ホルモン分泌不全性低身長症/ポリエックス症候群(XXX症候群、XXXX症候群及びXXXXX症候群を含む)/リング18症候群/リンパ管腫/全前脳胞症/クラインフェルター症候群/偽性低アルドステロン症/ソトス症候群/グリコサミノグリカン代謝障害(ムコ多糖症)/線維性骨異形成症/スタージ・ウェーバ症候群/ケルビズム/偽性副甲状腺機能低下症/Ekman-Westborg-Julin症候群/常染色体重複症候群/巨大静脈奇形(頚部口腔咽頭びまん性病変)/毛・鼻・指節症候群(Tricho Rhino Phalangeal症候群)/その他顎・口腔の先天異常
https://www.jos.gr.jp/facility
保険適用で矯正治療を行う際の注意点
上記の疾患に該当する場合、どこでも好きな方法で矯正治療ができるというわけではなく、治療を始めるに際して注意点があります。
使用できる装置が限られる
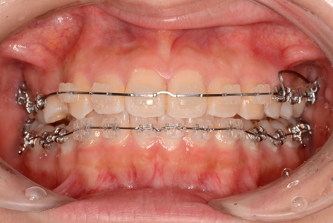
保険適用で矯正治療を行う場合、適用されている装置は決まっており以下の画像のワイヤータイプになります。

そのため、目立ちにくい装置などは選択できませんのでご注意してください。マウスピース矯正のように保険適用外の装置を使用する場合は、治療そのものが自費診療になります。
治療できる医療機関が限られる
保険適用で矯正治療を受けるには、国から認可を受けている医療機関で治療をうける必要があります。そのため、どこの歯科医院でも保険治療ができるというわけではありません。
当院は保険医療機関として認定を受けているため保険診療が可能となっています。

治療方針の選択
保険診療か自費診療か当院では患者様のご要望によって選択していただくことが可能な場合があります。金額的な問題や骨格の改善を求め保険診療をご希望される方、手術は希望せず歯並びが気になる、装置を自由に選びたいという理由から自費診療を選択される方、その患者様によってご希望はさまざまです。
当院では矯正医の診断により複数の治療方針がたてられた場合、診断時にそれぞれの治療方針のゴールやメリット・デメリットを実際にSure Smileの診断ソフトで見ながら矯正医から説明を受けることができます。複数の治療方針の中から、患者様の納得のいく治療方針を選んでいただいています。(上記に記載した疾患や診断名がつかない方は治療方針が複数ない場合もあります。)

矯正治療がうまくいくかどうかは、歯科医師のテクニックはもちろん診断・治療計画をしっかり立案することがとても重要になってきます。当院の診断システムについては、こちらのブログに記述しておりますので、ぜひご覧ください。
保険適用される先天性疾患の一例
矯正治療が保険適用される疾患のひとつに、「唇顎口蓋裂(しんがくこうがいれつ)」という疾患があります。
これは、先天的に唇や顎、口蓋が裂けている病気です。多くの場合、赤ちゃんがお腹の中で成長する過程で顔は左右から伸びてくる突起が癒合することによって形作られますが、稀に癒合がうまくいかず裂け目として残ることがあります。
唇のみが裂けるものは「口唇裂(こうしんれつ)」、口の中と鼻腔が繋がってしまうようになる「口蓋裂(こうがいれつ)」、顎の骨が裂ける「顎裂(がくれつ)」などがありますが、これらすべての症状が同時に現れるものを唇顎口蓋裂といいます。日本では約500人に1人の割合で起こる先天性疾患で、決して珍しいものではありません。哺乳や食べ物を食べるためには、これらの症状を改善して機能を回復させる必要があるため、この治療は保険適用になります。 現在では手術法が進み、傷跡を目立ちにくく治療を行うことが可能です。
生まれたてから子どもの時期は、手術や言語治療を受けたり、ある程度年齢を重ねると歯の矯正治療を受ける必要があり当院では口腔外科と連携しながら治療を進めております。
保険適用された場合に使える制度
矯正治療が保険適用になった場合は原則3割の負担金額になりますが、お子様の受給者証や自立支援などの申請をされている方は、1~2割の場合があります。また、使える制度は他にもあります。
医療費控除
医療費控除とは、その年の1月1日から12月31日までの1年間にかかった医療費が一定金額を越えた場合に受けられる所得控除です。過去5年間はさかのぼり確定申告することが可能です。
病気の治療のために行われる矯正治療は、医療費控除の対象になります。医療費控除の制度を利用するには、診療の際に発行される領収書などが必要になるので、制度を利用される予定のある方は治療開始前に必要書類を確認することをおすすめします。 また、過去のブログに医療費控除の投稿がありますのでそちらもご覧ください。
高額療養費制度
1か月あたりの医療費の支払いが一定金額を越えた場合に、超えた分の金額が支給される制度を高額療養費制度といいます。年齢や所得によって金額は異なるので、詳細は患者様ご自身が加入なさっている公的医療保険機関までお問い合わせください。 顎変形症と診断された場合は、顎矯正手術時にこちらの制度を利用することができます。
医療費補助制度
矯正治療を受けるのがお子さまの場合、自治体ごとの医療費補助制度も利用できます。補助を受けられる年齢制限や詳細については、最寄りの給付窓口までお問い合わせください。
まとめ
今回は、矯正治療の保険適用について詳しくご紹介しました。審美目的での矯正治療は全額自己負担になりますが、口腔機能を回復させるための治療は条件を満たせば保険適用になることもあります。
矯正治療にかかる費用は比較的大きな金額になるためご不安もあるかと思いますが、当院では初回のカウンセリング時にさまざまな相談の他、かかる費用の見積もりやお支払いの方法についてもご案内しております。当院は矯正治療に特化した専門の歯科医院で、矯正治療の専門医が患者様お一人おひとりに合わせた治療をご提案いたします。まずは矯正治療にご興味のある方はまずはお気軽にご相談ください。
