医院BLOG

治療計画の幅を広げるアンカースクリュー

今回は患者様からの質問も多い「アンカースクリュー」についてお話ししたいと思います。そもそもアンカースクリューという言葉、聞いたことがあるでしょうか。スクリューという名前の通り「小さなネジ」のようなもので、下記のような様々な呼ばれ方をしています。

  • アンカースクリュー
  • 歯科矯正用インプラント
  • ミニインプラント
  • インプラントアンカー
  • TAD=Temporary Anchorage Device

どれも同じ意味合いで使われています。この装置を使って行う歯列矯正治療のことを「インプラント矯正」と総称することもあります。

アンカースクリュー
アンカースクリューにはさまざまな形状やサイズがあります。

身体にネジを打つなんて怖い!と思われる方も多いと思いますが、その必要性と安全性についてご理解いただければ、きっと安心して治療を受けていただけると思います。

アンカースクリューの役割としくみ

アンカースクリューは、チタン合⾦でできた直径1.6〜1.8mm、⻑さ6.0〜10.0mmくらいの⼩さな小さなネジです。チタン合金は生体への害がなく、骨との親和性が高い素材です。このアンカースクリューを顎の骨に埋め込み、これを「固定源(こていげん)」として歯を動かします。難しい言葉ですが、分かりやすく言えば⻭を動かすための支柱として使うということです。なぜ矯正治療を⾏う上で支柱が必要なのでしょうか?

⻭を動かすときは、基本的に綱引きのように歯と歯を引っぱり合います。綱引きの場合、相⼿とまったく同じ⼒で挑むと、相⼿を手前に引っぱることもできますが、⾃分も同じだけ前に引っぱられてしまいますよね。

アンカースクリューの作用イメージ

⾃分が全く動くことなく相⼿を手前に引っぱるために、例えば⾃分を「⼤きな⽊」にくくりつけてみたらどうでしょう。そうすれば、⾃分は前に引っぱられることなく、相⼿を手前に引っぱってくることができます。

アンカースクリューの作用イメージ

この、「⼤きな⽊」の役⽬をする装置がアンカースクリューです。動かしたくない⻭は動かさず、動かしたい⻭だけを狙った方向に確実に移動させるための小さな装置がアンカースクリューなのです。

⼩さなネジが患者さんと歯科医師の負担を減らします

アンカースクリューを使った矯正治療(=インプラント矯正)では、患者さん・歯科医師双方にとってメリットがたくさんあります。

難しい歯の動かし方が可能に!

アンカースクリューが普及したことで歯を思い通りの方向に動かすことができるようになり、治療の幅が大きく広がりました

アンカースクリューを必要とする歯の動きの一つに歯列全体の遠心移動(えんしんいどう;歯を後ろ=口の奥の方向に動かすこと)があります。アンカースクリューが普及するまでは、「ヘッドギア」という患者さん自身が取り外すことができる装置が、この役割を担っていました。しかし、これは頭全体を覆うキャップが必要で、帰宅および外出の際に患者さん自身に着脱をしていただく必要がありました。これは患者さんにとって煩わしいものであり、その上使⽤時間が短いと十分な効果が発揮されないというデメリットがありました。アンカースクリューを使った治療では、毎月の処置の際に歯科医師が必要な力をかけますので、ご自身で装置を着脱するなどの煩わしさは一切ありません。この歯列全体の遠心移動が可能になるということは、非抜歯治療の幅が広がることを意味します。これまで、矯正治療をするには抜歯が必要と言われていた症例でも、アンカースクリューを併用することで非抜歯で行える可能性が出てきます。

遠心移動の他にも、これまで困難であった「圧下(歯を骨の中に沈めるように動かすこと)」という動きが可能となります。そのため、前歯の圧下によるガミースマイル(笑った時に歯ぐきがたくさんみえること)の改善や、臼歯(=奥歯)の圧下による開咬(前歯がかみ合わない状態)の改善など、治療の幅は大きく広がりました

装置が小さいので歯磨きが簡単!

お家での⻭ブラシの仕⽅は、通常の⻭磨きに加えて、先の細いタフトブラシなどでアンカースクリュー周囲を磨いて清潔に保っていただくだけです。通常の歯科矯正では、目的の歯を引っ張るために奥歯に大きな装置をつけたり、バネのようなもので歯と歯の隙間をわざと広げたりする方法がとられますが、歯磨きがしにくいという欠点があります。歯磨きがしにくいということは、それだけ虫歯になりやすいということです。虫歯になってしまえば、つけた装置を一度外して治療を行わなければいけません。必要な箇所にのみ装置をつけることができるため、通常の歯科矯正に比べて歯磨きがしやすくなるという利点もありますね!

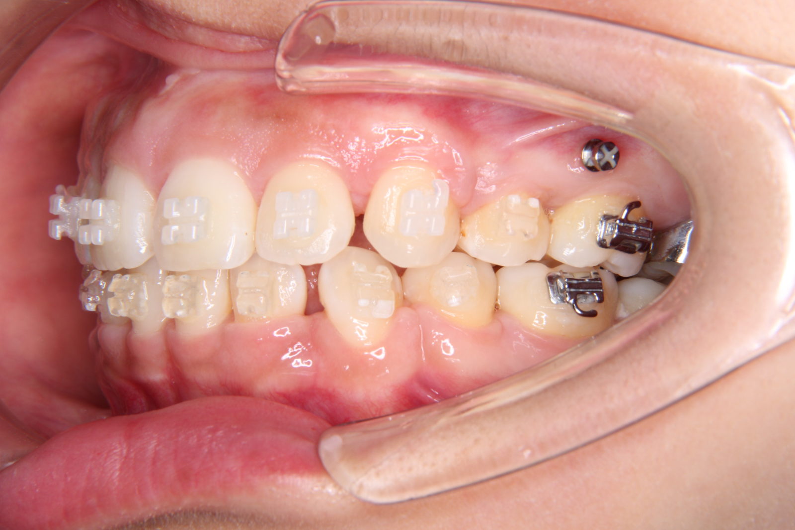
実際に口腔内に装着したアンカースクリュー
実際に口腔内に装着したアンカースクリュー

アンカースクリューは痛い?

歯茎にネジを差し込むなんてすごく痛い処置ではないかとご⼼配なさっているのであればご安⼼下さい。想像しているよりもはるかに痛みが少なく、安全な処置です。アンカースクリューを立てたい辺りの歯茎にほんのわずかに⿇酔を⾏い、アンカースクリューを歯茎とその下の⾻に差し込んでいきます。処置自体は5〜15分で終了します。アンカースクリューは、必要がなくなった段階で取り外しますが、その際は⿇酔を必要とせず、数分で終わります。

矯正治療を⾏うすべての患者さんにこのアンカースクリューが必要なわけではありませんが、必要な⽅にはたくさんのメリットがある治療法なのです。今回は、アンカースクリューについて詳しくお話をさせていただきました。当院のウェブサイトには、今回ご紹介したスクリュータイプよりも強固なプレートタイプの説明も記載しております。ご興味がある方はぜひご覧ください!

よくある質問10選

Q1. アンカースクリューってどんな治療に使うの?

A. 歯を効率よく動かすための「固定源」として使います。

通常の矯正では難しい歯の移動(奥歯を動かさずに前歯だけ下げる、噛み合わせを整えるなど)が可能になり、治療計画の選択肢が大きく広がります。

Q2. すべての矯正治療でアンカースクリューは必要ですか?

A. いいえ、必要な方と不要な方がいます。

歯並びや骨格、動かしたい歯の移動量によって使用の有無は異なります。当院では治療効果を高める必要がある場合にのみご提案しています。

Q3. アンカースクリューは痛いですか?

A. 麻酔を使用するため、装着時の痛みは最小限です。

処置後に軽い違和感や鈍い痛みを感じることがありますが、多くの場合は数日以内に落ち着きます。

Q4. アンカースクリューを入れる処置はどのくらい時間がかかりますか?

A. 1本あたり数分程度で終わることがほとんどです。

外科的な大きな処置ではなく、通院の中で行える比較的負担の少ない処置です。

Q5. アンカースクリューは見えますか?

A. 装着する位置によりますが、目立ちにくい場所に入れることがほとんどです。

日常生活や会話で気づかれにくいケースが多く、見た目への影響は最小限です。

Q6. アンカースクリューが取れてしまうことはありますか?

A. まれに緩んだり外れたりすることがあります。

その場合でも再装着が可能で、治療に大きな支障が出ることはほとんどありません。

Q7. アンカースクリューがあると治療期間は短くなりますか?

A. 歯の動きをコントロールしやすくなるため、結果的に治療がスムーズに進むケースがあります。

ただし、治療期間は歯並びや治療内容によって個人差があります。

Q8. アンカースクリューを入れたまま食事や歯磨きはできますか?

A. 通常通り食事や歯磨きが可能です。

ただし、周囲に汚れがたまりやすいため、丁寧な歯磨が重要になります。

Q9. 治療が終わったらアンカースクリューはどうなりますか?

A. アンカースクリューの使用が終わった段階、もしくは矯正治療終了時に取り外します。

取り外しは短時間で、跡も時間とともに目立たなくなります。

Q10. アンカースクリューは安全な治療ですか?

A. 矯正治療に広く用いられている、安全性の高い方法です。

当院では骨や歯の状態を十分に確認したうえで、適切な位置・方法で行っています。

まとめ

アンカースクリューは、矯正治療において歯の動きを正確にコントロールするための重要な補助装置です。これまで難しかった歯の移動が可能になり、治療計画の選択肢が広がることで、より理想的な歯並びや噛み合わせを目指すことができます。

すべての方に必要な治療ではありませんが、歯並びや骨格の状態によっては、治療効果を高めるための有効な選択肢となります。

当院では、患者さん一人ひとりのお口の状態やご希望を丁寧に確認したうえで、アンカースクリューの使用を含めた最適な治療計画をご提案しています。「自分の治療に必要なのか知りたい」「詳しく説明を聞いてから判断したい」など、気になることがあればお気軽にご相談ください。

旭川公園通り矯正歯科では、安心して治療を受けていただけるよう、分かりやすい説明と丁寧なサポートを大切にしています。

BACK TO TOP