- カテゴリーなし
子どもの矯正/必要性と注意点
子どもの矯正治療では、上下の前歯4本ずつ(すべて永久歯)と6歳臼歯とよばれる奥歯に装置を装着し治療をすることが多いです。生えてきた永久歯の歯並びを整えるだけでなく、顎の成長のコントロールやスムーズな生え変わりをサポートするためのスペース確保を治療の目的として行います。
目次
子どもの矯正治療の流れ
子どもの矯正治療はまだまだ成長が残されている成長期に行うことから、治療を2段階にわけて行う必要があります。

一期治療
乳歯列期(にゅうしれつき)
乳歯が生え始める1歳から永久歯への交換がはじまる6歳頃までの期間を言います。基本的に矯正治療は永久歯の歯並びや骨格の問題を改善することが目的となるため、乳歯列の時期に矯正治療を行うことは少ないです。しかし、習癖や機能的な原因により骨格的な不正へと繋がる可能性があると判断されれば、乳歯列期にこれらの原因を取り除く必要があります。

混合歯列期(こんごうしれつき)
6歳~12歳頃の乳歯と永久歯が混ざって生えている時期のことです。子どもの矯正治療は混合歯列期のこの時期からスタートします。部分的に矯正装置を装着し、混合歯列期の時点でみられる問題を解決していきます。この時期は、顎骨の成長コントロールを行うことができるため、上顎前突(じょうがくぜんとつ=出っ歯)や下顎前突・反対咬合(かがくぜんとつ=受け口)などの骨格性の異常に対する治療が大きな治療目標になることが多いです。この時期にある程度、骨格に対する治療や永久歯の並ぶすき間の確保などを行うことができると、二期治療・永久歯列期での治療の幅が広がります。
子どもの受け口や出っ歯の治療に関しては、こちらの記事で詳しく解説しています!併せてご覧ください。
一期治療での目標達成後は、観察期間に入ります。すべての歯が永久歯に生え変わり、成長がある程度落ち着くまで待つ必要があるからです。経過をみながら、一期治療で矯正治療を終了とするのか、本格矯正治療である二期治療へと移行するのかを矯正歯科医・お子様・保護者で話し合いながら検討していきます。

二期治療
永久歯列期(えいきゅうしれつき)
12歳頃~すべての歯が永久歯に生え変わった時期です。人間は上下28本(親知らずを含めると32本)の歯が生えてきます。永久歯列になってからはすべての歯に矯正装置を装着し治療を行うため「本格矯正治療」とも呼ばれます。成長期が過ぎていることが多く、すべての永久歯が萌出しているため、治療の目標や問題点を明確にすることができます。成長度合いによって治療内容が左右される混合歯列期とは異なり的確な治療計画を立てたり、治療後の予想も立てやすくなります。


しかし、骨格性の異常(出っ歯や受け口)の程度が大きい場合、すでに成長のコントロールを行うことができない時期であるため、この問題を解決するためには手術を伴う外科的矯正治療が必要になります。
外科的矯正治療については、当院のウェブサイトで詳しく解説しております。併せてご覧ください!
子どもの矯正治療の目的
矯正治療自体は何歳になっても受けることができますが、成長期である混合歯列の時期にしかできない治療があります。これが子どもの時期から矯正治療を開始する最大のメリットといえます。
- 上あご・下あごのバランスを整える
- 永久歯が並ぶスペースの確保
- 生えている永久歯の歯並びを整え、奥歯のかみ合わせを整える
- 発音が良くなったり、鼻呼吸を促す


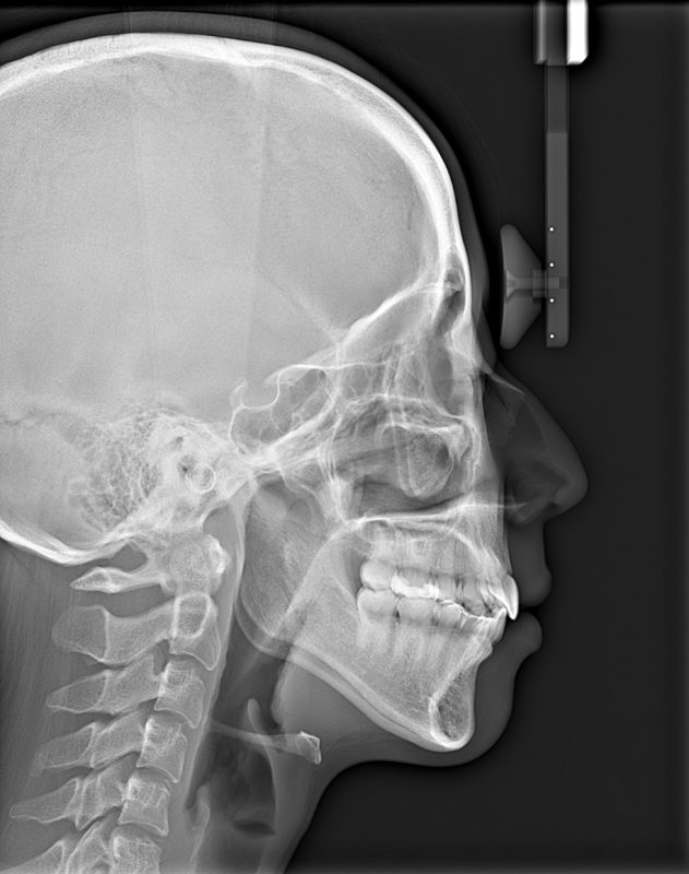
横顔のレントゲン(側面セファロ)を撮影し、同じ年齢の歯並びが良い人のデータと比較し、上あご下あごの前後的位置を確認します。成長期のうちに上下のあごのバランスを整えておくことで、二期治療での抜歯が必要なくなったり、将来的な外科矯正のリスクが少なくなったりするなど、たくさんのメリットがあります。
治療開始時期の目安
子どもの場合、どの時期から矯正治療をはじめたらいいのか迷いますよね。実際、歯並びやかみ合わせの状態によってはじめる時期が異なるというのが答えとなってしまいますが、患者さんから子どもの歯並びの気になる原因として多い3つの歯並びの開始時期の目安をご紹介します。
ガタガタ・デコボコ(叢生、そうせい)の場合


治療開始時期の目安は、 上下の前歯4本ずつ(すべて永久歯)と6歳臼歯が生えてきたタイミングです。年齢でいうと6~8歳頃となります。デコボコになる原因は、上下の顎(歯列弓・しれつきゅう)の大きさに対して、生えてきた永久歯が大きいと並ぶスペースが足りなくなることです。上あご下あごの前後的位置に問題がなく、上記の歯が生えていればいつでも開始することができます。
出っ歯(上顎前突)の場合


治療開始時期の目安は、8~10歳頃の小学校中学年から高学年頃となります。出っ歯になってしまっている原因にもよって変わってきますが、骨格的な問題があり、上あごに比べて下あごの成長が乏しかった場合は、上記の年齢がの下あごの成長を促すのに望ましい時期とされています。

図は上あごと下あごの成長の時期が異なることを示すグラフです。
上あごは神経系型、下あごは一般型に分類されます。上あごは、5~8歳ぐらいが最も成長が旺盛な時期となります。また、10歳ぐらいではすでに80%ぐらいまで成長してしまっていると言えます。それに対して、下あごは身長が分類される一般型と同じ分類のため、女の子では小学校高学年頃、男の子では小学校高学年~中学生頃が旺盛な時期となります。
受け口(下顎前突)の場合


治療開始時期の目安は、6~8歳前後の早めの時期が望ましいといえます。受け口の場合、骨格的な問題があることが多く上あごの成長が足りず下あごが前に出てしまっている状態のため、出っ歯の項目で表した通り、思春期でのさらなる下あごの成長に備えて、上顎前方牽引装置(じょうがくぜんぽうけんいんそうち)などの装置を使用して上あごを成長させておく必要があります。
使用する装置と期間
お口の状態によって使用される装置が異なるため、今回は旭川公園通り矯正歯科でよく使っている代表的な3つの装置をご紹介します。
マルチブラケット装置(2×4)
治療期間:1年~1年半程度
装置料:330,000~385,000円程度(処置料別)

ブラケットとよばれるボタンを歯に接着剤で装着し、その上をアーチワイヤーとよばれるワイヤーを通し、ワイヤーの力を使って歯並びの改善などをする装置です。奥歯2本と前歯4本にブラケットを装着することから、「2×4(ツーバイフォー)」と呼ぶこともあります。料金を抑えた銀色のものや、目立ちにくい白いものなど当院では3種類のなかからお選びいただくことができます。
固定式のため、動的治療(歯を動かす治療)が終わるまでの1年~1年半ほどはずっと装置がついた状態となります。個人差はありますが、装置に慣れるまでは違和感や不快感を感じたり、歯が動くことによって痛みを感じることがあります。ですが、違和感や不快感は装置装着から1か月程度、痛みに関しては治療後2~3日から1週間程度でおさまることが多いため、装置がついている期間を通して違和感や痛みがあるということは少ないです。
メリット
- ほとんどすべての症例に対応できる
- しっかりと通院すれば目標通りの治療が達成できやすい
- 取り外しの手間がない
デメリット
- 装置の周りに食べ物が挟まりやすく、歯ブラシしずらい
- ブラケットが外れたり、ワイヤーがささったりする可能性がある
マウスピース型矯正装置
治療期間:1年半程度
装置料:440,000円程度(処置料別)

上下の歯に取り外し可能な透明のマウスピース型矯正装置を装着し、治療を行います。
メリット
- 透明な装置のため目立ちにくい
- 食事と歯磨き時は、装置を外すことができるので衛生的
- 乳歯も一緒に動かすことができるため、永久歯の生えるスペースを確保しやすい
デメリット
- 使用時間が少ないと治療効果がでない(1日20~22時間の装着が必要)
- 取り外しに伴い、紛失や破損の可能性がある
子ども用のマウスピース型矯正装置については、こちらの記事でも詳しく解説しています!併せてご覧ください。
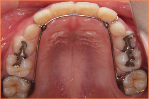
保定装置
治療期間:2年以上
装置料:なし(動的治療時に使用した装置料に含まれます。)



一期治療での目標達成後は、後戻り(歯が元の位置にもどろうとすること)を防止し、残っている乳歯が永久歯へスムーズに交換できるようにするために、保定装置を使用する必要があります。お口の状態によって使用する装置は異なり、矯正歯科医がベストな装置を決めていきます(基本的に患者様がご選択することはできません)。
子どもの場合、すべての歯が永久歯に生え変わり、成長がある程度落ち着いてくるまでは保定装置の使用が必要です。すべての歯が永久歯に生え変わるのが12~14歳頃となり、男の子だと高校生くらいまで成長が続くことがあります。この時期までは、数か月~1年おきの定期的な観察が必要になります。
子どもの治療での注意点
子どものうちから矯正治療をはじめた場合、一期治療・二期治療を含めると治療が長期化します。そのため、治療をうける子どもたち自身や保護者の方が矯正治療自体に疲れを感じてしまったり、モチベーションが下がってしまうケースがあります。また、子ども本人が歯並びをなおしたいという意識がないと、「なんのために装置をつけているのか?」などという疑問が生じ、治療を積極的に受けてくれなかったり装置の使用をさぼってしったりするケースもあります。
歯並びをなおしてあげたいという保護者の方の気持ちと歯並びをなおしたいという子ども本人の気持ちが同じレベルにあると、矯正治療はスムーズに進みやすくなります。
まとめ
子どもの矯正治療は適切な開始時期を見極め、必要な治療を行うことができるかどうかが将来の歯並びに大きく関わってきます。
旭川公園通り矯正歯科では初診カウンセリングを実施しています。みなさまのご来院をお待ちしております
