- カテゴリーなし
デコボコな歯並び(叢生)の原因となおし方
こんにちは!
今回のブログは、デコボコ・ガタガタの歯並び「叢生 (そうせい) 」についてお話します。
目次
叢生(そうせい)とはどんな状態?
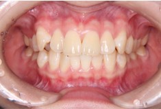
別名「乱ぐい歯(らんぐいば)」ともいいます。歯がデコボコに生えたり、歯の生え方が不揃いだったりする状態のことです。永久歯(大人の歯)があごのスペースに並びきらないことが主な原因とされています。あごが小さくなっている現代人に多い不正咬合です。八重歯も叢生のひとつです。


叢生(そうせい)のデメリット
まず大きな問題として「見た目が良くない」ということがあります。ガタガタな歯並びを人に見られたくないために、口元を隠しながらお話したり、大きく口をあけて思い切り笑えなかったり…。

その他機能的な面でも、歯が重なり合っているため歯ブラシが難しくむし歯や歯周病のリスクが高くなります。特に下の前歯の部分は、歯石(しせき=プラークが石灰化して硬くなったもの)が溜まりやすいポイントになっており、さらに歯のデコボコがあると隅々まで磨くことが難しいため歯周病になって、口臭の原因や、最悪の場合歯が抜けてしまうということもあります。
どうやってなおすの?
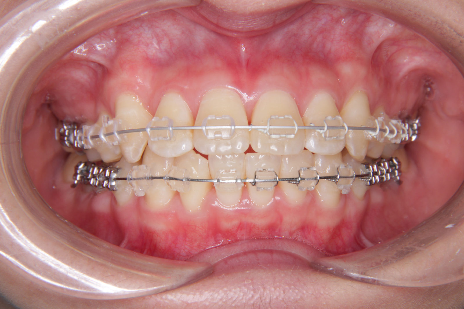
マルチブラケット装置やマウスピース型矯正装置(インビザライン)を使用して治療を行っていきます。なるべく歯を抜かずに治療する方法(非抜歯治療)を考えますが、難しい場合は歯を抜いてすき間をつくって歯を並べていきます(抜歯治療)。


装置によって料金や見た目が変わったりしますので、患者様それぞれのライフスタイルにあったものをご提案させていただき、最終的にはご自身で決めていただくインフォームド・チョイスを実践しています。
最終的なゴールは?
① 前歯のかみ合わせが適切かどうか
歯を自然にかみ合わせたとき、上の前歯が下の前歯に対して水平・垂直方向で約2mmずつかぶさっている。

②犬歯から奥が「1歯対2歯」のかみ合わせかどうか
犬歯から奥の歯が、上の歯1本に対して下の歯2本の割合でバランスよくジグザグにかみ合っている状態が 「1歯対2歯」のかみ合わせ。上下左右の奥歯がすき間なくしっかりかみ合っているのがポイントです。

③「正中線(せいちゅうせん)」が一致しているか
上下の前歯の間を結ぶ正中線がほぼ一直線になっているのが理想です。
マスク生活の今がチャンス!?
今回はさまざまある不正咬合のなかから、最も代表的な「叢生」についてお話しました。
コロナ禍になり、マスクをして生活することが一般的になって口元を隠すことができラッキー!と思ってる方もいらっしゃると思いますが、逆にこの期間を利用して長年コンプレックスだった歯並びを治そう、矯正しよう、と治療をはじめるかたが非常に多い印象です。
マスクをしなくても良い社会になった時、きれいな歯並びで周りを気にすることなくお話したり笑ったりできると今までとまた違った人生になれるかもしれないですね♪
旭川公園通り矯正歯科では、初診カウンセリングを実施しています。
みなさんのご来院をお待ちしております。
